Accessibility Tools

Knee Arthritis

The joint surface is covered by a smooth articular surface that allows pain-free movement in the joint. Arthritis is a general term covering numerous conditions where the joint surface or cartilage wears out. This surface can wear out for several reasons; often the definite cause is not known. Arthritis often affects the knee joint. When the articular cartilage wears out, the bone ends rub on one another and cause pain. The most common type of arthritis is osteoarthritis. It occurs with aging and use.

Knee Osteoarthritis

Osteoarthritis also called degenerative joint disease, is the most common form of arthritis. It occurs most often in older people. This disease affects the tissue covering the ends of bones in a joint (cartilage).In a person with osteoarthritis, the cartilage becomes damaged and worn out causing pain, swelling, stiffness and restricted movement in the affected joint. This condition most commonly affects the joints in the hips, knees, hands, and spine. Rarely, the disease may affect the shoulders, wrists, and feet.

Patellofemoral Arthritis

Patellofemoral arthritis is an inflammatory condition characterized by loss of the smooth cartilage between the kneecap (patella) and the underlying femoral (thigh) bone in the knee joint. When the articular cartilage wears out, the underlying bones rub against each other, causing pain, swelling, stiffness, and restricted movement.

Knee Pain

Knee pain is a common condition affecting individuals of various age groups. It not only affects movement but also impacts your quality of life. An injury or disease of the knee joint or any structure surrounding the knee can result in knee pain. A precise diagnosis of the underlying cause is important to develop an appropriate treatment plan.

Knee Injury

Pain, swelling, and stiffness are the common symptoms of any damage or injury to the knee. If care is not taken during the initial phases of injury, it may lead to joint damage, which may end up destroying your knee.

Meniscal Injuries

Meniscal tears are one of the most common injuries to the knee joint. It can occur at any age but are more common in athletes involved in contact sports. The meniscus has no direct blood supply and for that reason, when there is an injury to the meniscus, healing is difficult.

Knee Fracture

A fracture is a condition in which there is a break in the continuity of the bone. In younger individuals, these fractures are caused by high energy injuries, as from a motor vehicle accident. In older people, the most common cause is a weak and fragile bone.

Fractures of the Tibia

The lower leg is made up of two long bones called the tibia and fibula that extend between the knee and ankle. The tibia or shinbone is the larger of the two bones. It bears most of the body’s weight and helps form the ankle joint and knee joint. A crack or break in the tibia is referred to as a tibial fracture. The tibia is the most frequently fractured long bone of the body. It normally takes a great amount of force for a fracture of the tibia to occur.

Fractures of the Patella

The patella or kneecap is a small bone present in the front of your knee where the thigh bone meets the shinbone. It provides protection to your knee and attachment to muscles in the front of the thigh. An injury to the knee can result in a break or fracture of the patella. The patella may break into two pieces or several pieces depending on the nature of the injury. Any part of the patella may be involved.

Knee Stress Fractures

Stress fractures of the patella or knee are very rare. Approximately two out of 10,000 athletes may experience a patella stress fracture. Initial symptoms include activity-related pain and then a fatigue stress fracture after minor trauma. The term insufficiency stress fracture is used for cases where the patella is weakened previously such as after patella resurfacing surgery.

Stress Fracture of the Tibia

A stress fracture of the tibia or shinbone is a thin fracture, also called a hairline fracture that occurs in the tibia due to excess stress or overuse. The tibia is a weight-bearing bone in which stresses can accumulate from activities such as running and jumping.

Unstable Knee

Damage to any of these supportive structures causes instability of the knee joint. An unstable knee can be caused by the sudden twisting of the knee, tears of the meniscus, ligament or capsule, osteoarthritis of the knee (wear and tear of the cushioning cartilage tissue between the bones) and sports injuries. When these tissues get injured, the patella or kneecap can move out of its groove in the knee joint and lead to instability.

Quadriceps Tendon Rupture

The quadriceps can rupture after a fall, direct blow to the leg and when you land on your leg awkwardly from a jump. Quadriceps tendon rupture most commonly occurs in middle-aged people who participate in sports that involve jumping and running. Other causes include tendonitis (inflammation of quadriceps tendon), diseases such as rheumatoid arthritis, diabetes mellitus, infection and chronic renal failure, which weaken the quadriceps tendon. Use of medications such as steroids and some antibiotics also weakens the quadriceps tendon.

Patellar Tendon Rupture

The patellar tendon works together with the quadriceps muscle and the quadriceps tendon to allow your knee to straighten out. Patella tendon rupture is the rupture of the tendon that connects the patella (kneecap) to the top portion of the tibia (shinbone).

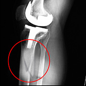
Periprosthetic Knee Fractures

Knee replacement, also called knee arthroplasty, is a surgical procedure in which the worn-out or damaged surfaces of the knee joint are removed and replaced with artificial implants. Any resulting fractures or breaks in the bone around the implant are called periprosthetic knee fractures. These fractures may occur during surgery (intraoperative) or after surgery (postoperative), and usually involve the patella, tibia or the femur (kneecap, shinbone, and thighbone). Women are at higher risk than men.